This section is from the book "A Manual Of Pathology", by Joseph Coats, Lewis K. Sutherland. Also available from Amazon: A Manual Of Pathology.
The pathology of this condition has been referred to in a former part of this work (see p. 141). It is most typically seen in phthisis pulmonalis and in some other wasting diseases. It also occurs, although in a somewhat different form, in chronic alcoholism.
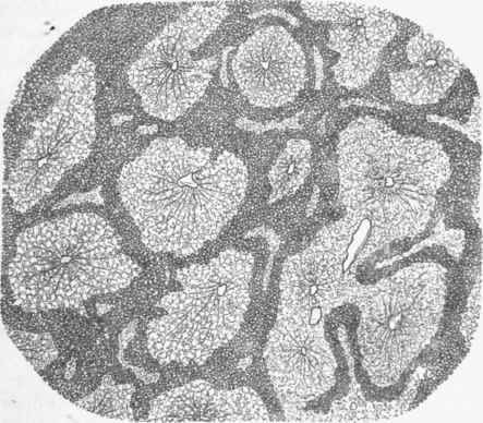
In fatty infiltration fat is brought by the portal vessels and deposited in the hepatic cells. It is first deposited in those nearest the terminals of the portal vein, that is to say, in the peripheral parts of the lobules (see Fig. 405), so that at first each lobule has a peripheral zone of fatty infiltration. This is very markedly seen when a section is examined microscopically in the fresh state or stained with osmic acid. In the latter case the fatty peripheral parts become of a blackish colour, and the section assumes a very striking figured appearance as shown in the figure. As the condition advances, more and more of the lobule is affected, and the infiltration may overtake its whole extent. Even in extreme cases, however, it usually preponderates at the peripheral parts, The fat is present in larger and smaller drops in sidy the hepatic cells, but the tendency is for the drops to assume a considerable size (as in Fig. 406). The protoplasm of the cells is pushed aside by the fat, but its function is not apparently interfered with. The stellate cells of Kupffer are sometimes specially affected.

Fig. 405. - Fatty infiltration of the liver; oamic acid preparation as seen with a very low power. The peripheral parts of the lobules are demarcated by the fatty infiltration, x 16.

Fig. 406. - Fatty infiltration of liver. The cells are isolated, and they contain larger and smaller drops of oil. x 350.
The fatty liver is increased in weight, and in extreme cases it may be double the normal. The organ is enlarged generally, rounded at the edges and increased in thickness. It is unduly soft in consistence and has an opaque pale yellow colour which may be very marked, and merge towards a saffron yellow. It is nearly always possible with the naked eye to distinguish evidences of the lobular distribution of the fat. The lobules are, in fact, mapped out in the most characteristic figured manner, so that, on looking closely, we can distinguish each with perfect accuracy.
The appearance presents a considerable resemblance to that of the nutmeg liver, where also the lobules are mapped out; but in the fatty liver it is by unduly pale tissue at the peripheral parts of the lobules, which contrasts with the normal central parts; while in the other case it is the normal which is at the periphery, and it contrasts with the red central parts, and the whole cut surface is unduly red.
In Chronic alcoholism the fat is more generally distributed. The liver as a whole has a soft greasy appearance, and fat will be found in larger and smaller drops throughout the lobules.
 
Continue to: